Southern Illinois University
HISTO HOME
CRR
Index
Respiratory
Histology
Cardiovascular
Histology
Renal
Histology
RESOURCE CENTER

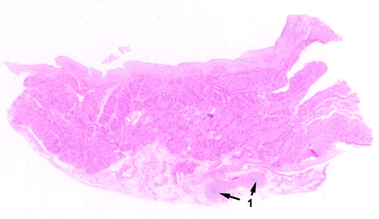
Hints for Slide CRR 07.  

  • Hopefully, you recognized that the mucosal epithelium is stratified.  Since surface cells are not reliably present, it is unclear (except from context, i.e., recognizing the organ) which type of stratified epithelium this is.
       
  • Hopefully, you also recognized that the thick fibrous wall consists of smooth muscle, with fibers cut in several orientations.
     
  • You may now be able to write a short list of organs with smooth muscle walls lined by a stratified epithelium.
     
  • The most definitive clue on this specimen is the small tube (1).
    • This tube has a muscular wall that is quite thick relative to the size of the lumen (e.g., much thicker than an artery).
    • The epithelial lining of this small tube is pseudostratified columnar.
    • The CRR curriculum does not include this tube.

No more hints.  

 


 


Comments and questions: dgking@siu.edu

SIUC / School of Medicine / Anatomy / David King

https://histology.siu.edu/crr/SAQcrr07a.htm
Last updated:  8 September 2021 / dgk